Amazing things happen when innovation expands the standard of care

In today’s clinical practice, increasing workloads and complexities pose a significant challenge to the delivery of high-quality care. With Philips CT, meaningful innovation from the start can help you expand the standard of care in diagnostics, therapy and screening. Do more, more easily, for your patients and your clinical teams.

CT systems

CT innovations

Virtual Imaging tools

Options and upgrades

Featured products in computed tomography

Spectral CT 7500

Spectral-detector CT scanner

Philips Spectral CT 7500 offers you spectral results 100% of the time. Now it’s easy to make each and every scan work harder for you, helping guide the way to the precision diagnosis that is so critical to your patients. Spectral CT 7500 is detector-based spectral CT, which means you get the performance you require in terms of image quality, dose and workflow. Technology, advanced tools and support combine to help you get the most from the spectral experience.

Incisive CT

CT Scanner

Incisive CT helps you meet some of your organization’s most pressing challenges. Philips Incisive CT offers intellect at every step, from acquisition through results, and across all fronts: financial, clinical and operational. Like never before, operator and design efficiencies come together for wise decisions from start to finish with an unprecedented Tube for Life guarantee¹. Now with the CT Smart Workflow, Incisive CT has further differentiated itself. CT Smart Workflow is an entirely new package of AI enabled tools that bring you the industry’s fastest AI reconstruction, automatic patient positioning and so much more to aid successful exams with fast results at low dose. From motion-free cardiac imaging to interventional procedures with confidence, CT Smart workflow offers you advances that matter in your day-to-day imaging.

5500 series

Big Bore RT

Big Bore RT is designed as a CT simulator to enhance clinical confidence, accelerate time to treat and maximize value of its investment without compromising on patient experience – four dimensions that are essential towards excellent care.

Deep clinical insights

Answer challenging diagnostic questions and significantly impact patient outcomes through the power of spectral-detector CT, which means that every scan for every patient gives you spectral results, allowing you to see more.

Fast and automated departmental workflow

Improve operational efficiency so that clinicians can do their jobs with ease through AI that powers advances such as the ability to reduce patient positioning time by up to 23%.*

Trusted performance and predictable total cost of ownership

Help reduce the overall cost of care with innovative programs such as Technology Maximizer, which allows for predictable costs while keeping your systems up to date with the latest software and hardware advances from Philips.

Technology and innovations

For customized image quality and workflow improvements while keeping staff satisfied and patients at-ease.

Photon Counting

Learn more about the promises of Photon Counting technology, its current limitations, and how Philips pioneers research into the next generation of CT imaging.

CT Smart Workflow

See how Philips CT Smart Workflow for a CT scan machine conquer your daily imaging challenges at every step with AI-enabled tools and intelligent automation.

Detector-based Spectral CT

Learn how our latest advancements of detector-based multi-energy, delivering in clinical certainty, dose efficiency and targeted imaging were built on Philips 40-year legacy of innovation in CT.

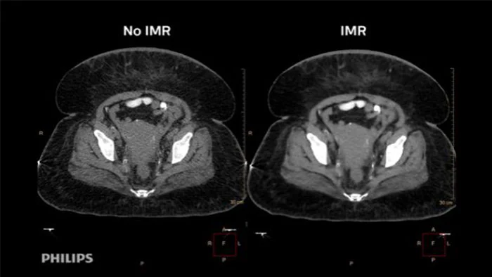
Iterative Model Reconstruction

Industry-leading low-contrast resolution.

iDose⁴

Personalize image quality based on your patients’ needs at low dose.

Explore Upgrades and Customization Options

Expand your diagnostic capabilities and enhance performance with these tailored solutions.

Comfort-Driven Environment

Transform patient care with innovative, calming environments. Features like ambient lighting, personalized visuals, and soothing soundscapes reduce anxiety and improve satisfaction for both patients and staff.

Intelligent Imaging & AI Tools

Leverage advanced AI-powered imaging tools that empower clinicians with precise diagnostics. Experience faster scan processing, automated anomaly detection, and enhanced visualization for better decision-making.

Clinical Analytics Solutions

Enhance care coordination across radiology, cardiology, and oncology with unified diagnostic tools. Gain real-time insights to drive faster, accurate decisions.

Operational Excellence

Optimize performance with scalable analytics tools. Track KPIs, predict downtime, and empower staff for continuous improvement.

Scroll to Top